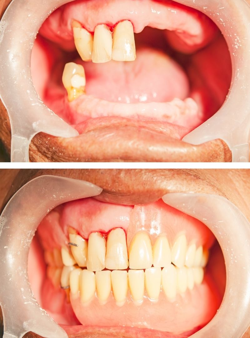
The beauty, health, and function of a smile can be adversely affected by a number of factors, including extensive tooth decay, periodontal disease, oral cancer, and injury. For some patients, these problems are best treated through multiple restorative and cosmetic dentistry procedures. Patients who have undergone oral cancer treatment or suffered a serious injury may require reconstructive dentistry to restore function to the mouth. Our dental office in Coral Gables, FL, provides reconstructive dentistry, including full mouth reconstruction, to create gorgeous, comfortable smiles.
Although similar to a smile makeover, full mouth reconstruction is much more extensive and is performed not only to restore the aesthetic appearance of the smile, but also to reconstruct the teeth for functional and medical reasons. For patients who suffer from bite and TMJ-related problems, a full mouth reconstruction is often necessary to bring the teeth and jaw into proper alignment. It is also often performed for patients after cancer treatment or a serious injury to the mouth.
At our Miami-area practice, full mouth reconstruction, is a comprehensive reconstructive dentistry procedure that starts with a thorough examination. We will determine which options will best restore the health and function of your smile. During a full mouth reconstruction, we may combine several cosmetic dentistry and restorative dentistry procedures to achieve the desired results. A full mouth reconstruction that is performed to fix bite misalignments may include the placement of multiple dental crowns, dental implants, or dental bridges. It may also address previous dental work that is problematic.
For some people who have undergone treatment for oral cancer, dental reconstruction is needed to rebuild the tissues and bones of the mouth. Reconstruction after cancer may involve the placement of dental implants, dentures, or other tooth replacement options, and it may involve tissue grafts taken from other parts of the body. We are highly experienced in working with patients to create a reconstructive dentistry plan that will restore function and aesthetics to the smile.
If you are a patient who requires multiple dental procedures, your best option may be a full mouth reconstruction. Dr. Gloria Ospina and her team can help determine which reconstructive dentistry procedures can best fit your needs. Contact our Miami-area practice to learn more about reconstructive dentistry, including full mouth reconstruction, and to schedule an appointment today.
Gables Perfect Smile has what you need to maintain the health of your mouth, improve the functionality of your teeth, and fine-tune the appearance of your smile. Gloria Ospina is affiliated with prominent organizations like the:
Let our relaxing Coral Gables, FL, office help you transform your smile. Fill out our contact form or call us at (786) 876-7713 to get started.
*Disclaimer: results are not guaranteed, may not be permanent, and can vary per individual. Some images are of models, not actual patients.
©2025 Gables Perfect Smile | Forever Website® 2.0 | Designed & Developed by : ImpulseMediaLab