gummy smile

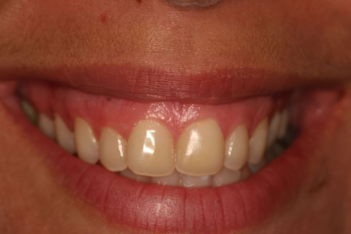
Is excess gum tissue making your teeth look worn or underdeveloped? Do you feel your smile looks too “gummy”?

Dr. Sandrine Riboul has enhanced many gummy smiles using a patented technique she developed and teaches to colleagues.

Get in touch with our Coral Gables, FL, dental practice today to learn how Dr. Sandrine Riboul can upgrade your smile and your confidence.

The Basics Of Gummy Smile Treatment

Do you have excess gum tissue above your teeth that creates an unbalanced smile? Dentists and periodontists can treat “gummy” smiles with crown lengthening and other types of gum surgery for a more proportional look.

If your teeth appear short and hidden by your gums, crown lengthening can help. With crown lengthening surgery, our dentist reshapes your gingival tissue to reveal more of each tooth. A similar surgery, gingivectomy, can be performed to address overgrown, excessive, or diseased gum tissue.

For other patients, a high upper lip position makes their smile appear gummy. If you have tried lip fillers to cover your excess gum tissue without success, Dr. Sandrine Riboul has pioneered a patented gummy smile technique: the High Lip Line Corrective Surgical Method. This technique combines BOTOX® and laser dentistry to limit lip movement, so less of your gum tissue shows. 

Why Might I Need Gum Surgery?

Unbalanced Appearance
Caused by a Gummy Smile

A gummy smile can impact how you feel about your appearance, but our team can help with advanced dentistry. We offer cosmetic gum surgery, gum contouring, and lip repositioning to fine-tune your smile and improve your confidence.

Gum Recession Caused by
Gum Disease

Patients with gum disease may notice that their gum tissue is pulling back from their teeth, or recessing. This symptom can impact your oral health and appearance. Fortunately, gum surgery like grafting can provide an aesthetically appealing solution.

Unsuccessful Past Treatment
Using Lip Fillers

Some doctors may recommend lip fillers as a way to mask your gummy smile. The intention is to reduce the appearance of your gums by making your lips larger. Unfortunately, due to issues like bad reactions or unskilled injectors, this option can fail. With Dr. Ospina’s patented High Lip Line Corrective Surgical Method, you can find a solution.

Loose Gums
Caused by Gum Disease

Bacteria and plaque lead to gum disease, a progressive condition. One of the most common symptoms of gum disease is loose gums or periodontal pockets. These pockets can gather infection-causing bacteria underneath the gumline and along each tooth, eventually leading to tooth loss. Fortunately, gum disease is treatable with surgery from a qualified dentist or periodontist.

Book Your Visit